IMG_5510

Transforme o seu sorriso com as Lentes em Resina

Sem Dor, Sem Anestesia e Com Naturalidade.

Nº 1 em Lentes em Resina Composta

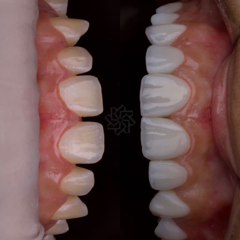
Transforme seu sorriso com as lentes em resina na nossa Clínica Odontológica. Utilizamos materiais de alta qualidade para criar sorrisos naturais e deslumbrantes, proporcionando durabilidade e estética excepcional.

Conheça nossos casos de sucesso e transformação

IMG_6024 (1)

Dra. Rosa Vieira

Especialista em Lentes de Resina

Olá! Eu sou a Dra. Rosa Vieira, especialista em estética dental com foco em lentes de resina. Com anos de experiência e uma paixão por transformar sorrisos, dedico-me a oferecer tratamentos personalizados que realçam a beleza natural de cada paciente. Utilizo técnicas avançadas e materiais de alta qualidade para garantir resultados duradouros e naturais.

As lentes de resina são uma excelente opção para corrigir imperfeições como manchas, desgastes, desalinhamentos e espaçamentos. Este procedimento minimamente invasivo preserva a estrutura natural dos dentes, proporcionando um sorriso harmonioso e brilhante em poucas sessões. Meu compromisso é oferecer um atendimento humanizado, desde a avaliação inicial até o acompanhamento pós-tratamento, para que você se sinta seguro e satisfeito com seu novo sorriso.

UMA PRIMEIRA CONSULTA PARA UM NOVO SORRISO!

Sinta-se à vontade para entrar em contato via WhatsApp e tirar todas as suas dúvidas sobre os procedimentos para você.

Dentista Responsável Técnico

Dra. Rosa Vieira

CONTATOS

HORÁRIO DE FUNCIONAMENTO